Startseite / Atemwege / Pleuraerguss

Pleuraerguss

Pleuraerguss

Der Pleuraerguss – Flüssigkeitsansammlung innerhalb der Pleurahöhle

Der Pleuraerguss ist keine eigenständige Erkrankung, sondern er entwickelt sich im Verlauf von anderen Krankheiten. Es handelt sich dabei um eine Ansammlung von Flüssigkeit zwischen der Brustwand und der Lunge. Ein Pleuraerguss ist immer Bestandteil einer feuchten Brustfellentzündung, er kann jedoch auch bei verschiedenen Krebserkrankungen, Erkrankungen des rheumatischen Formenkreises, sowie Herz-, Leber- oder Nierenerkrankungen vorkommen. Da die Ursachen dermaßen vielfältig sein können, muss bei der Diagnose immer nach der Grunderkrankung gesucht werden.

Die Pleura ist das Brustfell, welches aus einer äußeren und einer inneren Schicht besteht. Ein Teil der Pleura umhüllt die Lunge, der andere kleidet die Innenwände des Brustkorbes aus. Zwischen diesen beiden Schichten befindet sich ein rund 15 Millimeter dicker Flüssigkeitsfilm. Dieser Flüssigkeitsfilm sorgt für eine optimale Gleitfähigkeit der Lunge, wenn sie sich beim Atmen ausdehnt und wieder zusammenzieht. Das Brustfell produziert täglich neue Flüssigkeit, absorbiert jedoch auch einen Teil davon, so dass ein ständiger Austausch stattfindet. Ein Pleuraerguss ensteht immer dann, wenn dieses Gleichgewicht zwischen Absorbtion und Produktion gestört ist. Die zusätzliche Flüssigkeit sammelt sich dann aufgrund des Gewichtes im unteren Teil des Brustkorbes an.

Welche Ursachen hat ein Pleuraerguss in der Regel?

Wenn man nach der Ursache des Pleuraergusses sucht, muss man an eine Reihe von möglichen Grunderkrankungen denken. Neben einer Herzschwäche kommen Nierenstörungen, eine Leberzirrhose, eine Tuberkulose, rheumatische Erkrankungen, eine Lungenentzündung, oder eine Entzündung der Bauchspeicheldrüse in Betracht. Im schlimmsten Fall ist der Pleuraerguss eine Begleiterscheinung einer Krebserkrankung, wie zum Beispiel Brustkrebs, Lungenkrebs oder Eierstockkrebs. Allerdings sind die häufigsten Ursachen für einen Pleuraerguss eine Lungenentzündung oder eine Herzschwäche.

Symptome eines Pleuraergusses

In vielen Fällen verläuft ein Pleuraerguss ganz ohne erkennbare Symptome, so dass die Grunderkrankung häufig erst sehr spät diagnostiziert werden kann. In manchen Fällen verspürt der Betroffene ein sonderbares Engegefühl im Brustkorb, teilweise kommen auch Schmerzen beim Atmen hinzu. Bei körperlicher Belastung können die Betroffenen auch unter schwerer Atemnot leiden. Der Arzt kann einen Pleuraerguss nicht ganz so leicht erkennen, so dass mehrere Untersuchungen notwendig sind, um zu einer Diagnose zu kommen.

Diagnose Pleuraerguss: Das kann nun getan werden

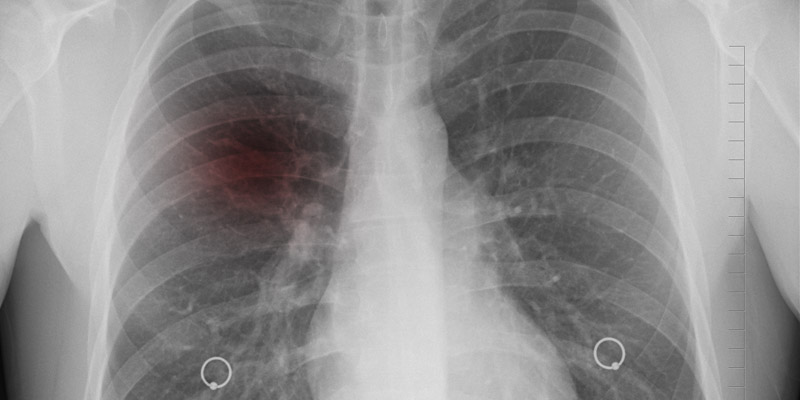
Das Gespräch kann dem Mediziner erste Hinweise auf das Vorliegen eines Pleuraergusses geben, dann wird der Brustkorb des Patienten abgehört. Um einen Pleuraerguss jedoch tatsächlich nachweisen zu können, sind eine oder mehrere bildgebende Untersuchungen notwendig. Zuerst wird eine Ultraschalluntersuchung durchgeführt, die in der Regel durch eine Röntgenaufnahme ergänzt wird. In vielen Fällen wird der Arzt auch eine Computertomographie durchführen, um sich ein genaues Bild vom Schweregrad des Ergusses zu machen, und gleichzeitig nach der eigentlichen Ursache zu suchen.

Sobald ein Pleuraerguss festgestellt wurde, muss unbedingt etwas der Flüssigkeit entnommen werden, was durch eine Punktion erfolgt. Die entnommene Flüssigkeit muss dann im Labor untersucht werden, um einen Anhaltspunkt für die Grunderkrankung zu bekommen. Dazu wird die Flüssigkeit auf ihren Proteingehalt und das Vorhandensein von Tumor- oder Entzündungszellen untersucht. Wenn die Ursache anhand dieser Untersuchung nicht festgestellt werden kann, wird noch eine so genannte Thorakoskopie durchgeführt. Diese Untersuchungsmethode ähnelt einer Bauchspiegelung, denn auch hierbei wird ein Endoskop in den Brustraum eingeführt, um das Brustfell beurteilen und Proben entnehmen zu können.

Therapie eines Pleuraergusses durch den Facharzt

Bei der Therapie des Pleuraergusses muss stets die Grunderkrankung behandelt werden, damit der Erguss sich zurückbilden kann. Um das Allgemeinbefinden des Patienten zu verbessern, können physikalische Maßnahmen wie Atemübungen, Brustwickel oder eine Wärmebehandlung durchgeführt werden. Wenn die Grunderkrankung nicht zu behandeln oder der Erguss sehr groß ist, müssen andere Therapiemaßnahmen eingeleitet werden, um die Störung in den Griff zu bekommen.

Wenn der Patient unter starker Atemnot leidet, kann eine so genannte Pleurapunktion durchgeführt werden, bei der pro Sitzung zwischen 500 und 1.000 Milliliter Flüssigkeit aus dem Bauchraum entnommen werden können. Wenn es durch bakterielle Erreger zu einer Infektion mit Eiterbildung gekommen ist, wird eine Drainage vorgenommen, um das Sekret dauerhaft absaugen zu können. Hierzu wird ein Gummischlauch für einige Tage im Brustraum gelassen, damit überschüssiges Sekret kontinuierlich abgesaugt werden kann. Es ist auch möglich, über diese Thoraxsaugdrainage das Brustfell zu spülen, um zum Beispiel durch Antibiotika den Heilungsprozess zu beschleunigen.

Im Falle, dass die Grunderkrankung nicht behandelt werden kann, und somit immer wieder Pleuraergüsse zu erwarten sind, können dem Patienten spezielle Medikamente verabreicht werden, welche dafür sorgen, dass die beiden Schichten des Brustfelles miteinander verkleben, so dass sich dazwischen keine Flüssigkeit mehr ansammeln kann. Diese Medikamente werden ebenfalls über die Thoraxsaugdrainage in den Brustraum eingebracht.

Wenn es zu größeren Vereiterungen oder Verwachsungen gekommen ist, wird während einer Thorakoskopie ein operativer Eingriff vorgenommen. Mit Hilfe eines Endoskopes werden die störenden Herde entfernt, damit die Lunge sich beim Atmen wieder ganz normal entfalten kann. Ein Pleuraerguss muss immer entfernt werden, da sich ansonsten schwere Komplikationen wie zunehmende Atemnot entwickeln können. Vor allem wenn der Problematik eine Lungenentzündung zu Grunde liegt, kann es gefährlich werden, da die Entzündung auch auf das Brustfell übergreifen kann. Es kommt dann zu einem eitrigen Pleuraerguss, der den Patienten zusätzlich schwächt und meistens zu hohem Fieber führt. Je schneller die Grunderkrankung gefunden werden kann, umso schneller kann die geeignete Therapie eingeleitet werden, um den Heilungsprozess zu beschleunigen.



Autoren & Experte:
Wissenschaftlicher Beirat: Prof. Dr. med. Hermann Eichstädt, Berlin. Facharzt Innere Medizin & Kardiologie, Lebenszeitprofessor i.R. der Charité Berlin. Geschäftsführender Vorstand der Berlin- brandenburgischen Gesellschaft für Herz- und Kreislauferkrankungen e.V.
Journalist: Horst K. Berghäuser
Heilpraktiker: Felix Teske

Literatur, Quellen und Verweise:
Rationelle Diagnostik und Therapie in der Inneren Medizin
Thieme Verlag
Praktische Labordiagnostik - Lehrbuch zur Laboratoriumsmedizin, klinischen Chemie und Hämatologie
Grönemeyers Buch der Gesundheit
Hallesche Krankenversicherung

Letzte Änderungen auf dieser Seite fanden am 18.03.2019 statt.


Top